内蒙古金源康生物工程股份有限公司品牌商

7

手机商铺

qrcode
商家活跃:
产品热度:
  • NaN
  • 0.7999999999999998
  • 0.7999999999999998
  • 1.7999999999999998
  • 0.7999999999999998
品牌商

内蒙古金源康生物工程股份有限公司

入驻年限:7

  • 联系人:

    雷蕾

  • 所在地区:

    内蒙古

  • 业务范围:

    试剂、细胞库 / 细胞培养、技术服务

  • 经营模式:

    生产厂商

在线沟通
推荐产品

金源康胎牛血清FBS-300

品牌:金源康

¥168 - 1600

咨询

胎牛血清BS-1105

品牌:opcel

¥203 - 1950

咨询

胎牛血清 BS-1102

品牌:奥普赛

¥358 - 3500

咨询

胎牛血清 BS-1101

品牌:奥普赛

¥168 - 1600

咨询
查看全部产品

公司新闻/正文

你知道各种细胞培养基的区别吗?

1624 人阅读发布时间:2021-07-22 10:55

现代的细胞培养已经具有固定的培养基配方,如 DMEM、RPMI1640。它们大多属于经典培养基。它们是如何发展起来的?
许多人做实验只养一两种细胞,也许只遇到一两种培养基。但在历史上积累起来的经典培养基实际上已至少有十几种。回顾这些培养基,也许能看到前人为发展细胞培养而做出的一些努力。

 
新闻图片1

图 1 细胞培养的三个奠基人:(左)Harry Eagle;(中)Renato Dulbecco;(右)Theodore T. Puck

最早的经典培养基是 BME,是由美国生理学家 Harry Eagle(1905-1992)在 1955 年开发的,用于培养 HeLa 细胞和小鼠成纤维细胞。他发现了细胞体外生长所必需的最低营养,这就是 BME 的配方。它由氨基酸、维生素、无机盐、D-葡萄糖和酚红组成。其中维生素有 9 种,氨基酸有 13 种,包括 10 种必需氨基酸、半胱氨酸、酪氨酸和谷氨酰胺。



MEM 可同时用于贴壁和悬浮细胞,可培养 HeLa , BHK-21 , 293 , MCF-7 细胞等。它是由 Harry Eagle 在 BME 配方基础上开发的。之后诞生了MEM培养基的改良配方,如 GMEM、a-MEM 和 DMEM 。

 
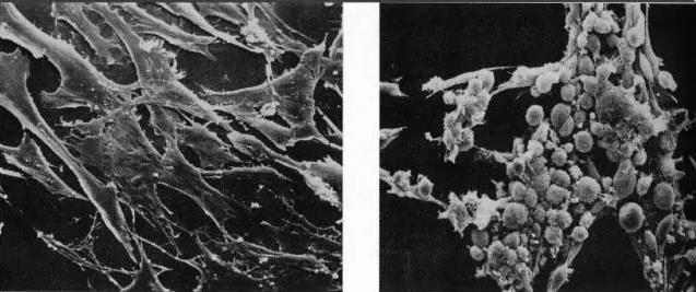
新闻图片2

图 2 (左)正常细胞。 (右)转化细胞
 
DMEM 即意大利生理学家 Dulbecco 改良的 Engle 培养基。DMEM 最常用,能支持很多贴壁细胞生长,包括原代的成纤维细胞、神经元、HUVECs 、平滑肌细胞以及一些细胞系如 Hela(常用于癌症和信号转导研究)、293(常用于外源蛋白表达)、Cos-7(常用于转染研究)等。
 

DMEM 所含维生素的浓度大约是 MEM 的4倍,所含氨基酸大约比 MEM 高1倍,氨基酸种类则多 3 种,可以说营养更为丰富。
 
GMEM 所含的氨基酸和维生素浓度比 BME 高 1 倍。它最初是 MEM 加上 10% 的磷酸胰蛋白?,用于培养 BHK-21 细胞,以及用于研究影响细胞增殖能力的遗传因素。
 
新闻图片3

图 3 镜下免疫荧光染色后呈现的细胞
 
a-MEM 也是 MEM 的改良型,包括非必需氨基酸、Sodium pyruvate、硫辛酸、维生素 B12、生物素和抗坏血酸,可培养角质细胞、原代大鼠星形细胞等。

Ham F-12 培养基大约是在 1965 年由 Ham 引入,用于无血清培养 CHO 细胞(CHO 细胞是美国遗传学家 Theodore T.Puck 于 1957 年从一成年雌性仓鼠卵巢分离获得的,在生物工程上应用广泛)。和其他基础培养基相比,F-12 含有的成分更广泛,包括锌、腐胺、次黄嘌呤和胸苷,还可用于培养软骨细胞和前列腺上皮细胞。

M199 最初是用于鸡胚成纤维细胞的营养研究。 它具有广泛的物种适用性,特别是用于培养未转化细胞。M199 广泛用于病毒学和疫苗生产。与其他基础培养基相比,培养基 199 含有独特的成分,包括腺嘌呤、腺苷、次黄嘌呤、胸腺嘧啶和其他维生素。

RPMI 1640 主要用于培养悬浮细胞。它含有还原剂谷胱甘肽和高浓度维生素(如肌醇、胆碱),还包括生物素、维生素 B12 等 MEM、DMEM 没有包含的成分。

需要指出的是,经典培养基都不含蛋白质、脂类和生长因子,因此需要配合胎牛血清一起使用。

 

上一篇

细胞培养中的胎牛血清知多少

下一篇

动物血清之生物学作用

更多资讯

我的询价