7 年
手机商铺
公司新闻/正文
390 人阅读发布时间:2025-07-01 17:15
做细胞培养,最怕推开CO₂培养箱门的那一刻,“我的细胞怎么长这样了”!
细胞培养是一段漫长的过程,而在这个过程当中,细胞的外观可能会发生一些变化,比如颗粒变多、细胞变圆、变大、变小、聚团、空泡等等。这些变化可能是正常现象,也可能是状态不好的细胞在向我们发出“求救”信号。
常见异常形态&快速诊断
- 科研人必看的细胞形态异常自救指南 -
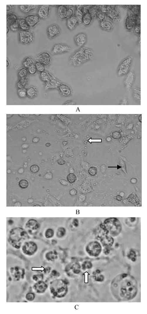
1.颗粒增多、发黑、状态差


图片来源于网络
细胞出现颗粒增多,或培养过程中显微镜观察发现小颗粒,可能为自噬产物或代谢副产物,也有可能是发生了微生物污染。
| 疑凶: 污染(细菌最常见!真菌、支原体)、细胞碎片、代谢废物堆积、pH 异常、营养不足 / 过期。
• 自救:
立即!镜下高倍镜找污染(细菌游动、真菌菌丝)。
怀疑污染:果断弃掉!彻底消毒环境。严格无菌操作复查。
非污染:清洗更换新鲜培养基、检查 CO₂浓度 / 培养基 pH、确认血清 / 添加剂是否失效或浓度错误。
2.细胞聚团

图片来源于网络
细胞密度高时聚集形成紧凑群体,可能由低温、剧烈震荡或血清不合适引发。
| 疑凶:细胞-基质粘附缺陷、消化过度(胰蛋白酶活性过强)、钙离子浓度异常或支原体污染。
• 自救:
消化要充分:如果细胞没消化开(成团贴壁),别急。继续培养24小时让细胞恢复,然后重新消化传代就行。下次记得多消化一会儿,并且传完后务必在显微镜下看一眼,确认细胞是分散的单细胞状态。
勤快:细胞长满了还不传代,长时间挤在一起,就容易结成很硬的团。这种团传代时很难弄散,传下去还会长出来。所以平时要勤快点看细胞密度,除非实验需要长满,一般长到80%左右(快满但没满)就得传代了。
本身特性:像NK-92、Jurkat这类细胞,它们本来就是聚在一起长的,这是正常现象,可别当成消化或培养出问题了。
3.空泡化


图片来源于网络
细胞出现空泡化,通常是细胞受到损伤,药物刺激,培养基成分不对,培养温度、气相等不合适的情况都可能导致空泡。
| 疑凶:药物 / 毒素作用、代谢异常(如糖原累积)、某些病毒感染、支原体污染、血清问题。
• 自救:
排除药物因素:是否刚加了处理?降低浓度 / 时间试试。
检查血清:换一批次或来源的优质血清。
排查支原体:做支原体检测!这是常见隐形杀手。
4.生长缓慢甚至停滞
| 疑凶: 血清质量差 / 浓度低、传代比例过高、细胞老化、营养耗尽、轻微污染(如支原体)、培养箱条件不佳(温度 / CO₂)
• 自救:
检查基础:确认血清批次、浓度;确认传代时细胞密度是否合适(接种密度过低?)。
优化环境:校准培养箱温度、CO₂浓度和湿度(尤其水盘)。
检测支原体
考虑复苏新批次低代次细胞
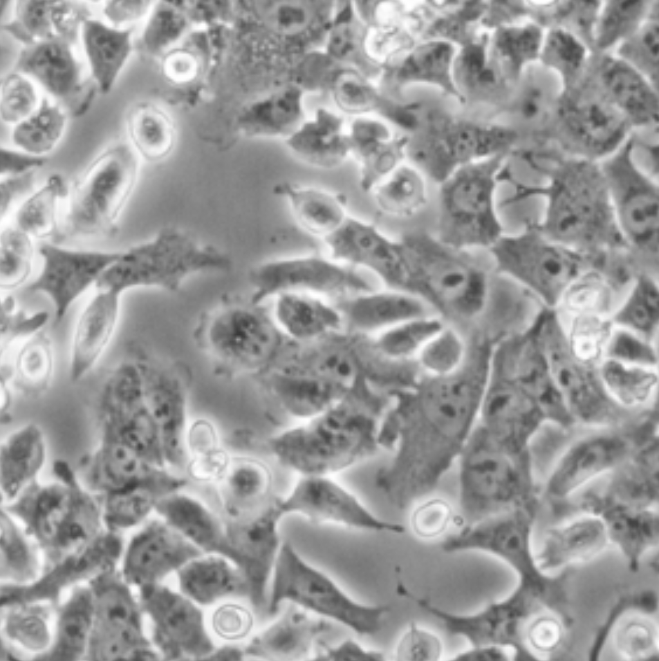
5.细胞皱缩

图片来源于网络
贴附能力较弱的细胞系(像293)在培养器皿表面附着不牢固,受外力震荡时易发生收缩
| 疑凶: 低温敏感,外力震荡
• 自救:
通常,将其放回培养箱静置即可恢复原有状态。但若长时间静置(如过夜)后细胞仍呈皱缩状,则需重新进行消化处理。
6.细胞拉伸/纤维化


图片来源于网络
细胞边缘出现溃烂、长角或毛刺
| 疑凶: 细胞受到损伤或细胞生长特性,生长速度有关。
• 自救:
提升血清浓度至标准值(胎牛血清10-20%)
基质再包被
检测细胞代次(超过代次需复苏新批次)

金源康胎牛血清
实验成功率的守护者
优化细胞培养,抵御异常形态
细胞培养是生命科学研究与生物医药产业的重要基础。有效应对细胞异常形态问题,是保障实验稳定性和成功率的重要因素。
在培养体系中,核心组分胎牛血清的质量尤为关键。高品质的胎牛血清,例如金源康胎牛血清,凭借其稳定的质量和可靠的表现,成为应对细胞异常形态、提升实验重现性的重要因素之一。

金源康胎牛血清适用于干细胞、原代细胞等敏感型细胞的培养。金源康专研血清25年,拥有全球最大B+A级血清生产基地。基于自身强大的研发和生产能力,其产品正逐步改变“进口优于国产”的传统认知。
金源康创新性地提供“血清筛选+细胞验证+应用场景定制”的一体化解决方案,旨在更精准地满足肿瘤研究、疫苗开发等领域的个性化需求,以期缓解进口标准化产品可能存在的局限性。公司自建了规模化的细胞库用于血清性能验证,涵盖工业用细胞株50余株及科研用细胞株300余株。

细胞培养的成功,始于对源头的严谨把控。选择金源康胎牛血清,为您的细胞状态和实验结果稳定性提供有力支持。